Sem folículos ovarianos não haveria gestação. Saiba tudo sobre essa importante estrutura do sistema reprodutivo da mulher lendo o conteúdo a seguir.
Os folículos ovarianos são uma importante estrutura do sistema reprodutivo feminino. Responsáveis por abrigar e nutrir os óvulos da mulher dentro dos ovários, estão diretamente relacionados à fertilidade e, quando estão saudáveis, contribuem positivamente para a possibilidade de realizar o sonho de gestar uma criança.
No conteúdo a seguir, saiba tudo o que envolve os folículos ovarianos: o que são, em que quantidade estão presentes no organismo da mulher, qual é a sua relação com o ciclo menstrual e qual é a sua importância dentro do contexto de tratamentos de reprodução assistida. Confira!
Agende sua consulta e entenda como a medicina reprodutiva pode te ajudar.
Índice
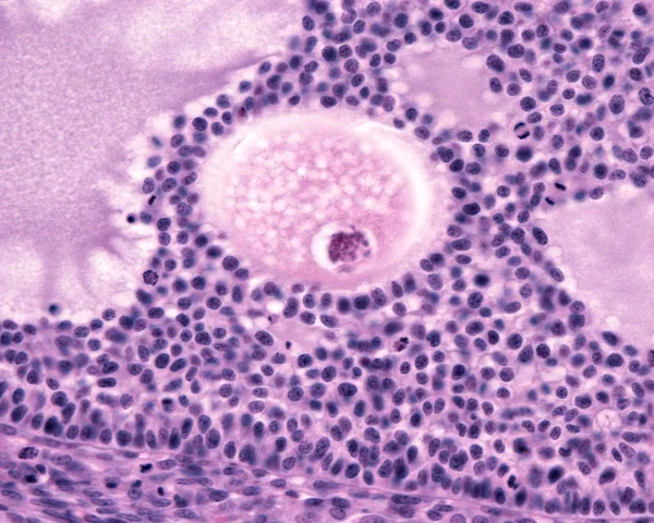
O que são folículos ovarianos?
Quando falamos a respeito da presença de folículos ovarianos durante um exame de ultrassom, muitas pacientes ficam receosas, pois, a princípio, elas os associam a algo negativo, como um cisto, por exemplo. Contudo, essa é, na verdade, uma estrutura que não só naturalmente faz parte do organismo da mulher como também é uma peça fundamental para o seu ciclo menstrual.
Em linhas gerais, os folículos ovarianos existem para abrigar o óvulo (gameta feminino), que, uma vez unido ao espermatozoide, dá início a toda e qualquer gestação. Localizados dentro dos ovários, os folículos se caracterizam como pequenas bolsas cheias de líquido que funcionam como uma espécie de cápsula protetora e que, durante o ciclo menstrual, podem liberar um óvulo suficientemente pronto para ser fecundado.
O que significa a presença de folículos nos ovários?
Ainda que a expressão “folículo no ovário” possa gerar estranhamento em algumas pessoas, a sua presença é, sem dúvida, normal e saudável, sendo, inclusive, um indicativo positivo de que o corpo está funcionando como deveria. Por isso, reiteramos: essa estrutura nada tem a ver com um cisto.
Folículos ovarianos bilaterais: o que isso quer dizer?
Capazes de portar óvulos maduros, os folículos ovarianos podem ser observados através de ultrassonografias. Quando o exame mostra que estão em ambos os ovários, dizemos que são bilaterais. Esse fenômeno é comum; portanto, não deve ser encarado com receio. Pelo contrário, há nisso um bom sinal de reserva ovariana.
Para saber mais, entre em contato com a Mater Prime.
Quantos folículos a mulher tem nos ovários?
A mulher já nasce com todos os seus folículos ovarianos, que se formam ainda na vida intrauterina. Ao nascer, há cerca de 1 a 2 milhões de folículos, número que cai para aproximadamente 300 a 500 mil na puberdade e continua diminuindo ao longo da vida, até se esgotar com a menopausa. Por isso, a quantidade de folículos depende diretamente da idade e da fase reprodutiva da mulher.
Além disso, a reserva ovariana é formada antes do nascimento, entre a 4ª e a 6ª semana do desenvolvimento fetal. Após esse período, o organismo não produz novos óvulos, ocorrendo apenas a perda progressiva deles a cada ciclo menstrual, o que explica a relação direta entre o passar do tempo e a redução da fertilidade feminina.
É normal ter quantos folículos em cada ovário?
Durante o ultrassom, é comum identificar entre 5 e 10 folículos ovarianos por ovário em pacientes em idade fértil. Às vezes, a quantidade pode ser maior, como em quadros de síndrome dos ovários policísticos (SOP), ou mesmo menor, indicando baixa reserva ovariana.
Como a quantidade de folículos muda ao longo da vida?
A mulher já nasce com todos os seus folículos ovarianos, não havendo reposição por parte do organismo ao longo da vida. Ciclo após ciclo, vários deles vão sendo naturalmente eliminados, pois, durante a ovulação, geralmente somente um folículo no ovário prevalece, o que lhe confere a possibilidade de liberar um óvulo, e os demais são degenerados. Sendo assim, a relação é direta: quanto mais jovem é a mulher, maior é a sua reserva ovariana.
Como funciona o ciclo menstrual e os folículos?
Os folículos ovarianos desempenham um papel central no ciclo menstrual da mulher. Em resumo, os fenômenos a que eles são submetidos cronologicamente são:
- Fase folicular inicial (recrutamento);
- Fase de seleção do folículo dominante;
- Fase de maturação (crescimento do folículo dominante);
- Fase de ovulação;
- Fase de formação do corpo-lúteo.
A seguir, veja mais detalhes sobre cada uma dessas etapas.
Recrutamento dos folículos e o papel do FSH
No começo do ciclo menstrual, o hormônio folículo-estimulante (FSH) seleciona folículos ovarianos para que eles comecem a se desenvolver.
Folículo dominante e produção de estrogênio
Em seguida, apenas um se destaca (a ele damos o nome de folículo dominante), crescendo mais do que os outros e passando a produzir estrogênio, sobretudo estradiol, para preparar o tecido que reveste a parede do útero para receber o embrião. Os demais folículos ovarianos recrutados naquele ciclo sofrem uma morte celular programada — chamada de atresia folicular.
Ovulação e liberação do óvulo pelo LH
A ovulação, então, começa com um pico de produção do hormônio luteinizante (LH). Com isso, o folículo dominante se abre e libera o óvulo que está pronto para ser fecundado pelo espermatozoide.
Formação do corpo-lúteo e fase lútea
Sem óvulo em seu interior, o folículo no ovário vira um corpo-lúteo, cuja principal função é se manter produzindo progesterona para que o endométrio esteja pronto para o recebimento do embrião. Dentro do ciclo menstrual da mulher, esse período é chamado de fase lútea.
Quantos óvulos um folículo pode liberar?
Teoricamente, cada um dos folículos ovarianos contém e pode liberar apenas um óvulo. Porém, em raras vezes, pode haver folículos vazios. Quando a mulher tem uma ovulação dupla, não significa que um folículo gerou dois óvulos, mas sim que havia dois folículos em crescimento naquele ciclo — algo que acontece de forma excepcional.
Folículos ovarianos e gravidez: é possível engravidar? Qual é o tamanho ideal?
Sem folículos ovarianos, não há liberação de óvulo. Sem óvulo, não há gravidez. Sendo assim, há uma intrínseca relação entre essa estrutura ovariana e a possibilidade de gestação.
No que diz respeito ao tamanho ideal do folículo no ovário, o valor está entre 18 mm e 20 mm. Este é um dos indicadores utilizados pelos médicos para determinar em que período da ovulação a paciente se encontra.
Folículos no ovário e sintomas
Muitas pacientes confundem folículo no ovário com cisto, o que as leva a questionar se folículos ovarianos doem ou indicam uma condição grave. Continue a leitura para saber o que os especialistas da Mater Prime têm a dizer.
Folículo no ovário pode causar dor?
Folículos ovarianos em período de crescimento podem trazer um leve desconforto abdominal, mas, em geral, eles não causam quaisquer sintomas.
Folículo no ovário é considerado grave?
Definitivamente, não. Diferentemente do cisto, que requer atenção médica, os folículos ovarianos fazem parte do sistema reprodutivo da mulher.
Qual é a importância da estimulação ovariana na reprodução assistida?
A estimulação ovariana é a primeira etapa dos tratamentos de reprodução assistida, pois possibilita o crescimento de vários folículos por meio de medicamentos hormonais. O objetivo é liberar um número maior de óvulos para aumentar as chances de gravidez.
A seguir, veja como isso acontece em tratamentos como a inseminação artificial, o coito programado e a fertilização in vitro.
Inseminação artificial
Na inseminação artificial, em que, resumidamente, é feita uma seleção de bons espermatozoides para que sejam colocados por meio de um catéter dentro do útero, a estimulação ovariana é leve. A ideia é garantir que haja pelo menos um folículo no ovário dominante com tamanho adequado.
Coito programado
No coito programado, por meio do qual se indica o melhor momento para que o casal se relacione, a paciente também pode passar por estimulação ovariana leve, aumentando ainda mais as suas chances de atingir uma gestação, principalmente em casos de anovulação ou oligovulação.
Fertilização in vitro (FIV)
No caso da fertilização in vitro (FIV), em que a fecundação e o desenvolvimento embrionário ocorrem em laboratório, a estimulação ovariana é intensa, porque há o interesse de produzir e coletar múltiplos óvulos maduros em um único ciclo.
Para saber mais, agende uma consulta com a Clínica de Reprodução Humana Mater Prime.
Fontes:
Sociedade Brasileira de Reprodução Assistida (SBRA)
Mater Prime





