Conheça quais são os exames solicitados e como são realizados
Miomas uterinos são tumores benignos formados por tecido muscular. Costumam surgir com mais frequência em mulheres na fase reprodutiva da vida.
Suas causas não são conhecidas, embora saiba-se que seu crescimento depende de fatores hormonais e que eles costumam diminuir de tamanho após a menopausa. Podem ser únicos ou múltiplos e seu tamanho pode variar de bem pequenos a volumes maiores.
Dependendo da região do útero em que se desenvolvem, temos os seguintes tipos de miomas uterinos:
- Mioma subseroso: quando cresce fora do útero, na parece que reveste externamente o órgão;
- Mioma intramural: quando cresce dentro da parede uterina — é o tipo mais comum de mioma;
- Mioma submucoso: quando cresce na parte central do útero, próximo ao endométrio e dentro da cavidade uterina.
Índice
Exames para diagnosticar os miomas uterinos
O diagnóstico de mioma uterino deve ser feito por um médico ginecologista, que vai avaliar possíveis sintomas apresentados pela mulher, além de solicitar alguns exames, de imagem e laboratoriais. Entre os principais, de imagem, destacam-se:
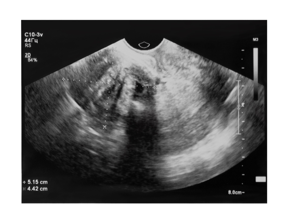
Ultrassom pélvico
A ultrassonografia pélvica é um exame indicado para o diagnóstico de mioma uterino porque possibilita a visualização do útero, do colo uterino, da vagina, das tubas uterinas e dos ovários. Ela é realizada com o auxílio de um transdutor, aparelho que emite ondas sonoras, transformando-as em imagens, em tempo real, transmitidas por um monitor. A ultrassonografia pélvica é realizada de duas formas: endovaginal (pela vagina, chamada ultrassonografia transvaginal) ou pelo abdômen (chamada ultrassonografia abdominal ou suprapúbica). Nenhuma delas requer uso de qualquer tipo de sedação ou anestesia.
Ressonância nuclear magnética da pelve
Esse exame para diagnóstico de mioma uterino fornece imagens de alta precisão, conseguindo caracterizar os miomas em relação à sua localização, características e dimensões, além de permitir uma avaliação global da região pélvica em detalhes. Em alguns casos, ele pode trazer informações adicionais à ultrassonografia.
Histerossonografia
É um exame de ultrassom no qual é injetada, dentro do útero, por meio de um cateter, uma solução salina estéril para dilatar o órgão. Isso permite uma melhor visualização do interior do útero, inclusive do endométrio, camada que reveste a parede interna do órgão, apontando a presença de aderências, processos inflamatórios ou massas tumorais, como pólipos ou miomas uterinos. Esse exame também permite observar a permeabilidade das tubas uterinas para detectar se elas estão obstruídas.
Histerossalpingografia
Esse exame para diagnóstico de mioma uterino é semelhante ao exame de raio-X, só que, nesse caso, é injetado contraste dentro do útero. Esse procedimento permite uma avaliação mais detalhada da cavidade uterina, onde é possível observar sinequias, miomas, pólipos, malformações uterinas, entre outras alterações, além da permeabilidade das tubas uterinas. É geralmente indicado em casos de investigação da infertilidade, por ser um exame muito eficaz na avaliação das trompas.
Histeroscopia
Esse exame contribui para o diagnóstico de mioma uterino porque permite ao médico visualizar a parte interna do órgão e o canal endocervical. Para realizá-lo, é introduzido, pela vagina e através do colo do útero, um instrumento chamado histeroscópio. O aparelho possui uma câmera acoplada, que filma e transmite as imagens para um monitor, em tempo real.
A histeroscopia é um exame semelhante à endoscopia, com a diferença de, nesse caso, ser um exame ginecológico. Miomas submucosos, que ficam no interior da cavidade uterina, são mais bem diagnosticados com a histeroscopia, que consegue classificar os miomas pelo grau de profundidade em que estão inseridos. A histeroscopia pode ser diagnóstica ou cirúrgica.
Exames laboratoriais para diagnóstico de mioma uterino
Os exames mais indicados para diagnóstico de mioma uterino são os de imagem, citados acima. Porém, se a paciente apresenta sangramento menstrual anormal, o médico pode pedir outros exames para investigar as possíveis causas desse sangramento. Eles podem incluir exames de coagulação sanguínea e hemograma completo, por exemplo.
Para saber mais sobre esses e outros exames, entre em contato com a Mater Prime.
Fontes:





